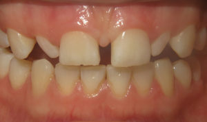
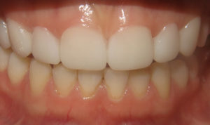
Veneers Photos - Case #4656

Instagram

🎉 Exciting News! 🎉 Valley Dental Works is hosting its first Invisalign Day on January 24, 2024! Start your New Year with a New Smile! 🌟 Get up to $1400 OFF Invisalign Treatment for one day only. Call us at 503.667.2400 to reserve your spot and enjoy free food, giveaways, and fun! Don’t miss out on this offer! 😁

...

Sometimes very simple changes to your smile can make the biggest impact. He is so happy to take his new smile into the holidays!

...

Full mouth transformation on our patient!

...

This error message is only visible to WordPress admins
There has been a problem with your Instagram Feed.

Contact us