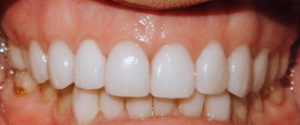
Fun case replacing a few crowns and adding some veneers to complete this great smile!
🎉 Exciting News! 🎉 Valley Dental Works is hosting its first Invisalign Day on January 24, 2024! Start your New Year with a New Smile! 🌟 Get up to $1400 OFF Invisalign Treatment for one day only. Call us at 503.667.2400 to reserve your spot and enjoy free food, giveaways, and fun! Don’t miss out on this offer! 😁
Sometimes very simple changes to your smile can make the biggest impact. He is so happy to take his new smile into the holidays!
Veneers on this patient that came to see us from out of town! If you’re interested in seeing us for virtual consultations please call or email us for more details
10 veneers on top to give this patient a beautiful smile!
4 veneers on her top teeth to achieve this gorgeous smile!
Before and After of 10 veneers for a trial smile on top for this patient. Her smile is gorgeous and we are all so happy to show her this preview! We can’t wait to share her final veneers in a few weeks!!
Contact us