Seeing is Believing-What is a Trial Smile?
Cosmetic dentistry is one of the most exciting and rewarding services we offer at Valley Dental Works. Each instance is motivated by something: a high school basketball player tripping on the court and chipping (ok, breaking) his front tooth in half, replacing teeth that never grew in and were actually missing, or brightening a smile before standing in a child’s wedding photos for an afternoon to name just a few. Each story is as unique as the person sharing it and some are quite personal and very significant. That our patients trust us to help them achieve their goals is an honor we take seriously.
This change can feel like a huge risk to some. How do they know the work will change their lives? What will the final product look like? Will the change be enough? Or perhaps too little? How can they minimize the risk and KNOW how treatment will look?
Digital imaging can show what the changes may look like. One’s imagination can help transform the image from paper into one’s mouth. But sometimes, even with the help of our imagination, people have wished they could know BEFORE the work is done to guarantee results or feel more confident about their decision to move forward.
We now have a way to do just that! The Trial Smile. Thru a simple, painless system, we can show anyone what their teeth could look like IN. THEIR. MOUTH! After leaving the office for the next few hours or even days, they can see how their smile transforms how they feel about themselves and how others see them. Seeing is believing.

Image 1: This woman has very healthy and white teeth. However, she was concerned about how the front teeth flared out just a little and didn’t align exactly in the middle of her lip. The Trial Smile, although quite conservative didn’t change a lot. But she didn’t want a lot done. They small tweaks made addressed the specific concerns she had.

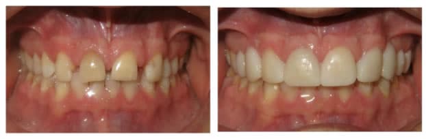
Image 2: This patient was born missing two teeth thus leaving spaces in between the front four teeth (on the left). After the Trial Smile was placed (on the right) it clearly showed how the teeth could look if the spaces were filled in and compensating for the missing ones. The patient immediately saw how a few veneers could significantly change the entire look of his mouth!
Call us if you would like to attend a party yourself or know of someone else, visit www.trialsmiles.net for more information and future party dates.